PENSIONES CIVILES REALIZA CIRUGÍA DE RESCATE CEREBRAL VASCULAR

PENSIONES CIVILES REALIZA CIRUGÍA DE RESCATE CEREBRAL VASCULAR

  • 23 sep, 2023

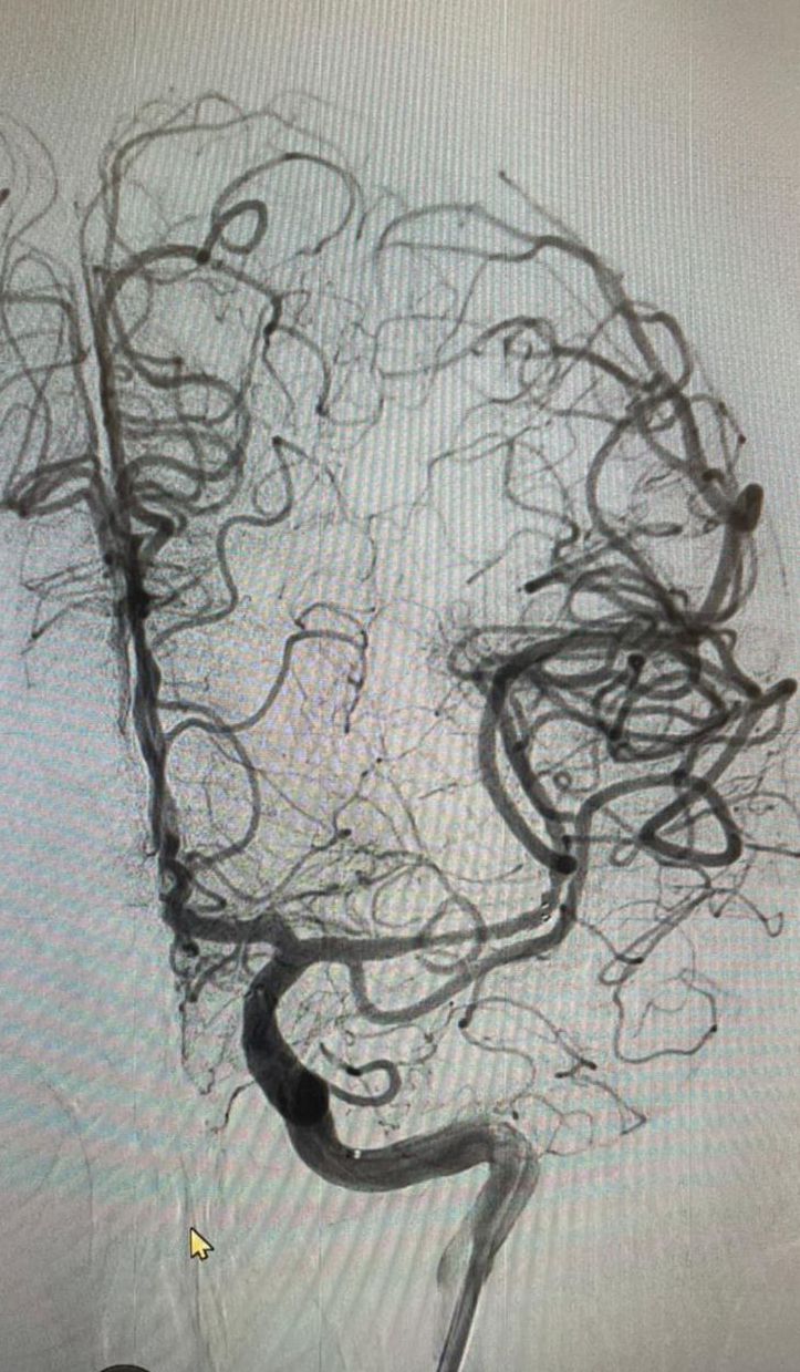
-El procedimiento fue realizado por el médico especialista Alejandro Rodríguez Orozco junto con el equipo de hemodinamia del Hospital Ángeles Chihuahua.

BoletínPCE84.

Pensiones Civiles del Estado (PCE) realiza cirugía de rescate cerebral vascular a derechohabiente femenina de 72 años de edad que presentó una embolia cerebral.

La cirugía fue realizada por el médico especialista de Pensiones Civiles, Alejandro Rodríguez Orozco, radiólogo neuro intervencionista, junto con el equipo de hemodinamia del Hospital Ángeles Chihuahua.

La paciente con antecedente de arterioesclerosis y lesiones en las carótidas, perdió la fuerza de forma súbita en la mitad de su cuerpo, afasia, pérdida del lenguaje y parálisis facial, por ello, se le realizó una resonancia magnética, en la que se detectó la obstrucción de una arteria por un coágulo, identificando la zona afectada y se hizo el rescate, que consiste en introducir catéteres desde la ingle hasta el cerebro.

Con este procedimiento, la derechohabiente, ha recuperado la circulación sanguínea hacia el cerebro, el lenguaje y el movimiento se irá recuperando paulatinamente conforme se progrese con las sesiones de fisiatría, tratamiento farmacológico y cambios en el estilo de vida.

La arterioesclerosis se produce cuando los vasos sanguíneos que llevan el oxígeno y los nutrientes del corazón al resto del organismo (arterias) se engrosan y endurecen, a veces, restringen el flujo sanguíneo a los órganos y a los tejidos. En ocasiones se rompe alguna de las placas, lo que provoca un desprendimiento de un coágulo ocluyendo las arterias cerebrales.

El especialista, Alejandro Rodríguez Orozco, con 8 años en Pensiones Civiles, es uno de los 302 médicos con los que cuenta la institución en la delegación Chihuahua.

Shape

Deja tu Comentario

Publicaciones más recientes

RECONOCE PENSIONES CIVILES DEL ESTADO A SU PERSONAL POR AÑOS DE SERVICIO,...

-Se galardonó a 23 trabajadores por cumplir 20, 25, 30 y 35 años de labor, así como al jubilado...

EQUIPA PENSIONES CIVILES DELEGACIÓN JUÁREZ UNIDAD DE HEMODIÁLISIS CON INVERSIÓN...

-Tiene capacidad para 42 tratamientos semanales, con posibilidad de ampliar a 120 sesiones